Casos de tripanosomiasis bovina en el departamento Las Colonias
- SRLC y Ariel Ayala
- 18 ene 2018
- 1 Min. de lectura
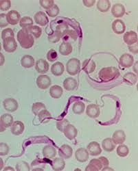
Es una patología infecciosa, de origen parasitaria, que afecta a los bovinos y susceptibles son los caprinos, ovinos, búfalos y equinos. No es transmisible al hombre Se detectaron casos de tripanosomiasis bovina en el departamento Las Colonias, provincia de Santa Fe. Se trata de una enfermedad de denuncia obligatoria. La anemia es la manifestación más común y predominante en la infección. Con el primer aumento de temperatura el parásito se multiplica y produce anemia por destrucción de glóbulos rojos y disminución en su formación. Se transmite de animal a animal por medio de insectos hematófagos, como moscas y tábanos, que actúan como vectores mecánicos, por lo que su control resulta crítico para su prevención. Recomendaciones: • En zonas donde se hubieran registrado casos, aplicar medidas de control contra vectores hematófagos (tábanos, moscas) en animales en pie y ambiente. • Al ingresar nuevos animales al predio, cerciorarse de que provengan de rodeos sanos, sin presencia activa de la enfermedad. • Ante la sospecha de enfermedad amenazante, consultar al veterinario para que lleve adelante el diagnóstico acorde. • Realizar la notificación a la oficina local del Senasa tanto ante la sospecha como ante la confirmación de los casos. • Se recomienda el tratamiento de los animales con signología clínica y positivos a tripanosoma vivax por técnicas de laboratorio reconocidas. Ante la aparición de sintomatología compatible se debe consultar a un profesional veterinario para que realice el diagnóstico y tratamiento correspondiente. Sociedad Rural de Las Colonias



















Comentarios